Which critical finding is most likely to require immediate surgical intervention?
What is the normal dP/dt value of left ventricular systolic function?
Which pathology is consistent with the left ventricular strain pattern shown in this image?

Which is the most likely abnormality represented in these images from a 48-year-old man with shortness of breath?


Which congenital abnormality is most consistent with the findings in this video?
What does the Qp represent in an atrial septal defect shunt ratio measurement (Qp/Qs)?
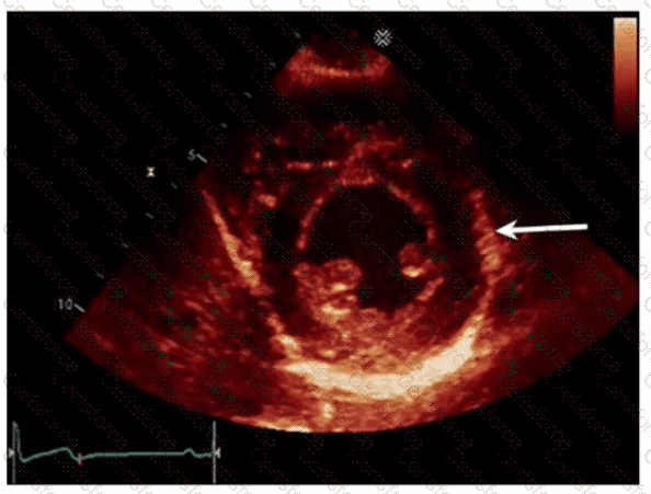
Which left ventricular regional wall segment is indicated by the arrow on this image?

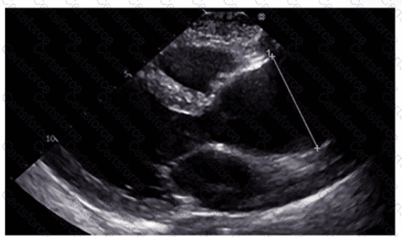
Which region of the aorta is being measured to assess the critical finding in this image?

Which acute disease state is indicated with McConnell's sign?
Which of the following conditions will increase in seventy with Valsalva maneuver?