Pre-Summer Special Limited Time 70% Discount Offer - Ends in 0d 00h 00m 00s - Coupon code: force70

Pass the ARDMS RDCS AE-Adult-Echocardiography Questions and answers with CertsForce

Viewing page 3 out of 5 pages
Viewing questions 21-30 out of questions
Questions # 21:

Which of the following measurements is required for calculating the Qp/Qs ratio?

Options:

A.

Mitral valve velocity time integral (VTI)


B.

Aortic valve VTI


C.

Tricuspid valve VTI


D.

Right ventricular outflow tract (RVOT) VTI


Expert Solution
Questions # 22:

Which maneuver aids in uncovering potential diastolic dysfunction while performing pulsed wave Doppler of the mitral valve?

Options:

A.

Valsalva


B.

Hand grip


C.

Leg air cycling


D.

Squatting


Expert Solution
Questions # 23:

A "dropout" or loss of echoes from structures posterior to a calcified mitral annulus results in which artifact?

Options:

A.

Reverberation


B.

Side lobe


C.

Shadowing


D.

Ring-down


Expert Solution
Questions # 24:

A patient presents with tender, red lesions on their fingers and toes (Osier nodes). Which finding is most likely?

Options:

A.

Carcinoid heart disease


B.

Lambl excrescences


C.

Papillary fibroelastoma


D.

Infective endocarditis


Expert Solution
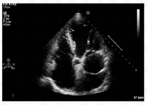
Questions # 25:

Which finding is shown in this image?

Question # 25

Options:

A.

Chiari network


B.

Left atrial thrombus


C.

Cor triatriatum


D.

Artifact


Expert Solution
Questions # 26:

Which finding is NOT associated with severe mitral valve regurgitation?

Options:

A.

Severely dilated left atrium


B.

Systolic flow reversal in the pulmonary vein


C.

Mitral regurgitant jet velocity less than 0.5 cm/sec


D.

Eccentrically directed mitral regurgitant jet


Expert Solution
Questions # 27:

A patient presents in the emergency room with a history of chronic high Wood pressure and new onset severe back pain. A physical exam reveals a new diastolic murmur. Which would be the most likely finding?

Options:

A.

Aortic aneurysm


B.

Aortic dissection


C.

Left ventricular rupture


D.

Ruptured papillary muscle


Expert Solution
Questions # 28:

What minimum number of poorly-visualized contiguous left ventricular (i_V) regional wall segments indicate the use of contrast agents for LV endocardial border definition?

Options:

A.

Two


B.

Three


C.

Four


D.

Five


Expert Solution
Questions # 29:

Which of the following is a feature of constrictive pericarditis?

Options:

A.

Mitral inflow pattern has a large E-wave and a small A-wave without respiratory changes


B.

Normal hepatic vein size


C.

Dilated inferior vena cava with inspiratory collapse during sniff test


D.

Interventricular septal bounce


Expert Solution
Questions # 30:

Which mitral valve filling pattern is characterized by a long deceleration time and an E/A ratio of 0.6?

Options:

A.

Restrictive


B.

Pseudonormal


C.

Impaired relaxation


D.

Normal


Expert Solution
Viewing page 3 out of 5 pages
Viewing questions 21-30 out of questions