Which Doppler signal is used to calculate the pulmonary artery end-diastolic pressure gradient?
When utilizing contrast agents, what should the sonographer keep in mind?
Which condition is most likely suggested by an apically sparing "cherry on top" left ventricular strain pattern?
Which of the following occurs during the strain phase of the Valsalva maneuver?
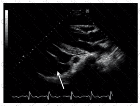
Which finding is indicated by the arrow on this image?

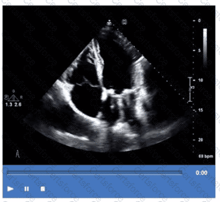
What is the direction of the mitral regurgitant jet in this video clip?

Which finding is demonstrated in this video?

Which echocardiography assessment requires mitral inflow pulsed wave, pulmonary venous pulsed wave, and tissue Doppler of the mitral annulus?
Sinus of Valsalva aneurysms most commonly rupture into which structure(s)?
Which finding is most consistent with this M-mode image?