Which is the most likely etiology of a spherical mass near the splenic hilum that is isoechoic to the normal spleen in a 55-year-old female?
Which thyroid condition is most likely caused by a viral infection?
Which common congenital anomaly is typically seen as a cystic midline anterior neck structure?
Which liver neoplasm is associated with use of oral contraceptives and is most often seen in women under the age of 40?
Which condition is characterized by abnormal dilatation of veins of the pampiniform plexus and most commonly affects the left testicle?
Which measurement is the upper limit for a normal gallbladder wall?
Which condition is most consistent with the findings in this image?

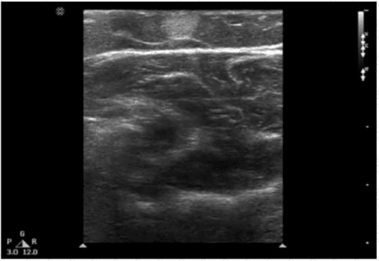
Which condition is most consistent with the sonographic appearance in this image of the abdominal wall?

Which of the following is a possible early complication of a renal transplant?
What is the most common ultrasound appearance of the pancreas in mild acute pancreatitis?