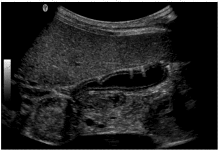
The ultrasound image shows echogenic foci with dirty shadowing and reverberation artifacts within the gallbladder wall and lumen. These features are characteristic of emphysematous cholecystitis, a severe, life-threatening variant of acute cholecystitis caused by gas-forming organisms (e.g., Clostridium or E. coli) infecting the gallbladder wall.
Sonographic features of emphysematous cholecystitis:
Echogenic gas within the gallbladder wall or lumen
Reverberation or "dirty" shadowing artifacts
May show intramural gas bubbles or "ring-down" artifact
Often seen in diabetic or immunocompromised patients
No gallstones may be present ("acalculous cholecystitis")
Clinical context:
More common in elderly men and diabetics
Presents with right upper quadrant pain, fever, and leukocytosis
Surgical emergency due to risk of perforation and sepsis
Differentiation from other options:
A. Adenomyomatosis: Involves gallbladder wall thickening with “comet tail” artifacts due to Rokitansky-Aschoff sinuses, not intramural gas.
B. Porcelain gallbladder: Shows curvilinear calcification of the gallbladder wall — dense echogenic rim with posterior shadowing.
C. Gangrenous cholecystitis: May show wall irregularity, intraluminal membranes, and absence of Doppler flow but lacks intramural gas.
[References:, Rumack CM, Wilson SR, Charboneau JW, Levine D. Diagnostic Ultrasound. 5th Edition. Elsevier, 2018. Chapter: Gallbladder and Biliary System, pp. 155–160., American College of Radiology (ACR). Appropriateness Criteria for Right Upper Quadrant Pain, 2022., Radiopaedia.org. Emphysematous cholecystitis: https://radiopaedia.org/articles/emphysematous-cholecystitis, , ]
Submit