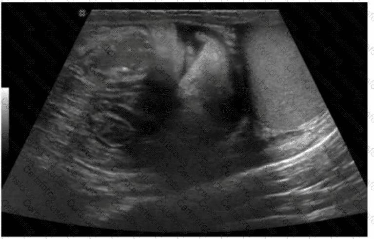
The ultrasound image demonstrates bowel loops with peristalsis visualized within the inguinal canal, which is diagnostic of an inguinal hernia—more specifically, an indirect inguinal hernia. Indirect hernias pass through the deep inguinal ring and may extend into the scrotum, appearing sonographically as bowel-containing masses adjacent to or within the scrotal sac. Peristaltic motion confirms the presence of viable bowel content.
This finding is typical in indirect inguinal hernias, which are more common in males and often congenital due to a patent processus vaginalis. The herniated bowel can be traced through the inguinal canal, as seen in this image.
Comparison of answer choices:
A. Hematocele presents as a complex fluid collection surrounding the testis, often due to trauma—no complex fluid or trauma is apparent here.
B. Testicular rupture shows discontinuity of the tunica albuginea and irregular testicular contour—none of which is seen.
C. Orchiectomy would show an absent testis—this is not the case here.
D. Indirect hernia is correct. The presence of bowel with peristalsis in the inguinal canal is diagnostic.
[References:, Rumack CM, Wilson SR, Charboneau JW, Levine D. Diagnostic Ultrasound, 5th ed. Elsevier; 2017., AIUM Practice Parameter for the Performance of Scrotal Ultrasound Examinations (2021)., Dogra VS, Gottlieb RH, Rubens DJ, Oka M. Sonography of the scrotum. Radiology. 2003;227(1):18–36, ]
Submit